関節
犬の大腿骨頭壊死症(レッグペルテス病)
こんにちは。今回は若齢犬でみられる大腿骨頭壊死症(レッグペルテス病)をご紹介いたします。
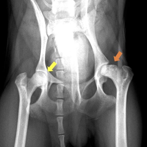
大腿骨頭とは、骨盤の寛骨臼(受け皿)にはまる円形状の骨で股関節を形成しています。
大腿骨頭壊死症とは、大腿骨頭に向かう血流が悪くなることで軟骨や軟骨下骨の虚血性壊死が生じ、軟骨びらんや骨吸収、大腿骨頭の円形構造の喪失などを招き、強い疼痛を生じます。

黄色矢印:正常な大腿骨頭、オレンジ矢印:大腿骨頭壊死症に罹患しており、骨吸収と変形を認める。

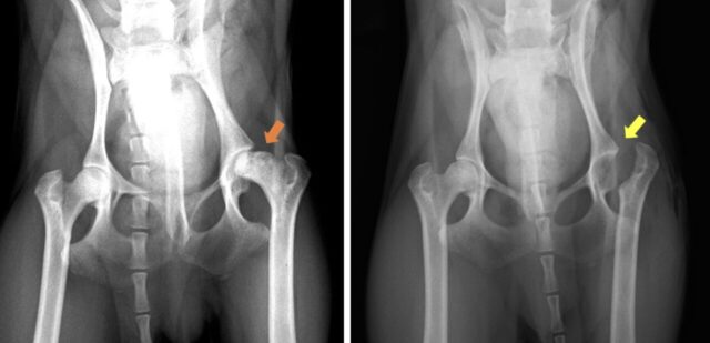
左写真:正常な大腿骨頭、右写真:大腿骨頭壊死症によって軟骨びらん(黄色矢印)と変形を認める。
原因と症状
トイプードル、テリア種、チワワ、ミニチュアピンシャーなど特定の犬種での発生が多いことから遺伝的な要因が最も大きいと考えられています。
ほとんどの症例が若齢(1歳未満)で発症し、罹患した後ろ足は歩行時にケンケンしたり、着地が見られなくなります。約10%の確率で両側に同時発生することもあります。罹患した後ろ足は慢性的な疼痛により大腿部筋肉の萎縮がみられます。
治療
レントゲン検査において大腿骨頭の変形が見られないような軽症例では、安静や鎮痛剤の内服で症状が緩和することもありますが、ほとんどの症例で外科手術が必要になります。
実際の症例
犬種:トイプードル(♂)
年齢:12ヶ月齢
体重:3.7kg
名前:ケンちゃん(仮名)
主訴:2ヶ月ほど前から左後肢をケンケンすることが増え、最近はほとんど足がつかなくなっている

術前のレントゲン写真(左):壊死した大腿骨頭(オレンジ矢印)
術後のレントゲン写真(右):大腿骨頭を摘出している(黄色矢印)
疼痛を緩和する目的で大腿骨頭切除(FHO)を実施しました。摘出した大腿骨頭は広範囲に軟骨びらんが認められ、強い変形を認めました。本手術後は股関節がなくなるため、手術をした足のバランスが取りづらくなります。そのため、術後はリハビリが重要になります。ケンちゃんの場合、週に1回のリハビリを2ヶ月間通院していただきました。術後2ヶ月では正常な歩行に改善し、臀部や大腿部の筋肉量も回復しました。
まとめ
獣医師からのメッセージ
若齢犬で足をケンケンする、痛がるなどの症状を認めた場合は病院を受診しましょう。また、近年では動物医療も発展しており、今回ご紹介させていただいた大腿骨頭切除術(FHO)以外にも股関節全置換術(THR)などの高度な手術も適応されることが増えつつあります(THRは当院では行っておりません)。飼い主様のご希望に応じて最適な治療をご提案させていただきます。
獣医師:保田
